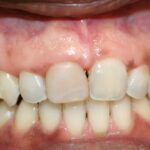
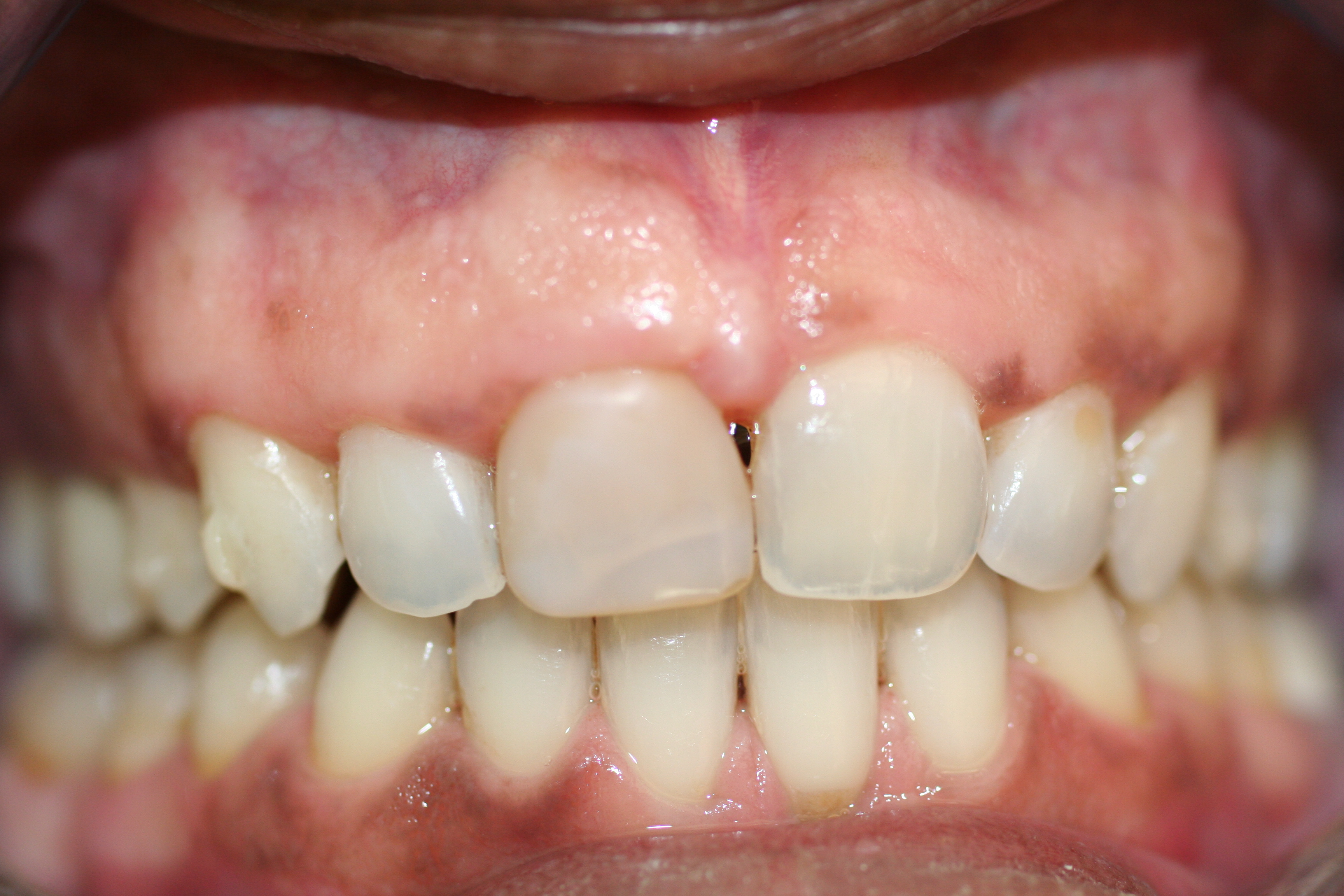
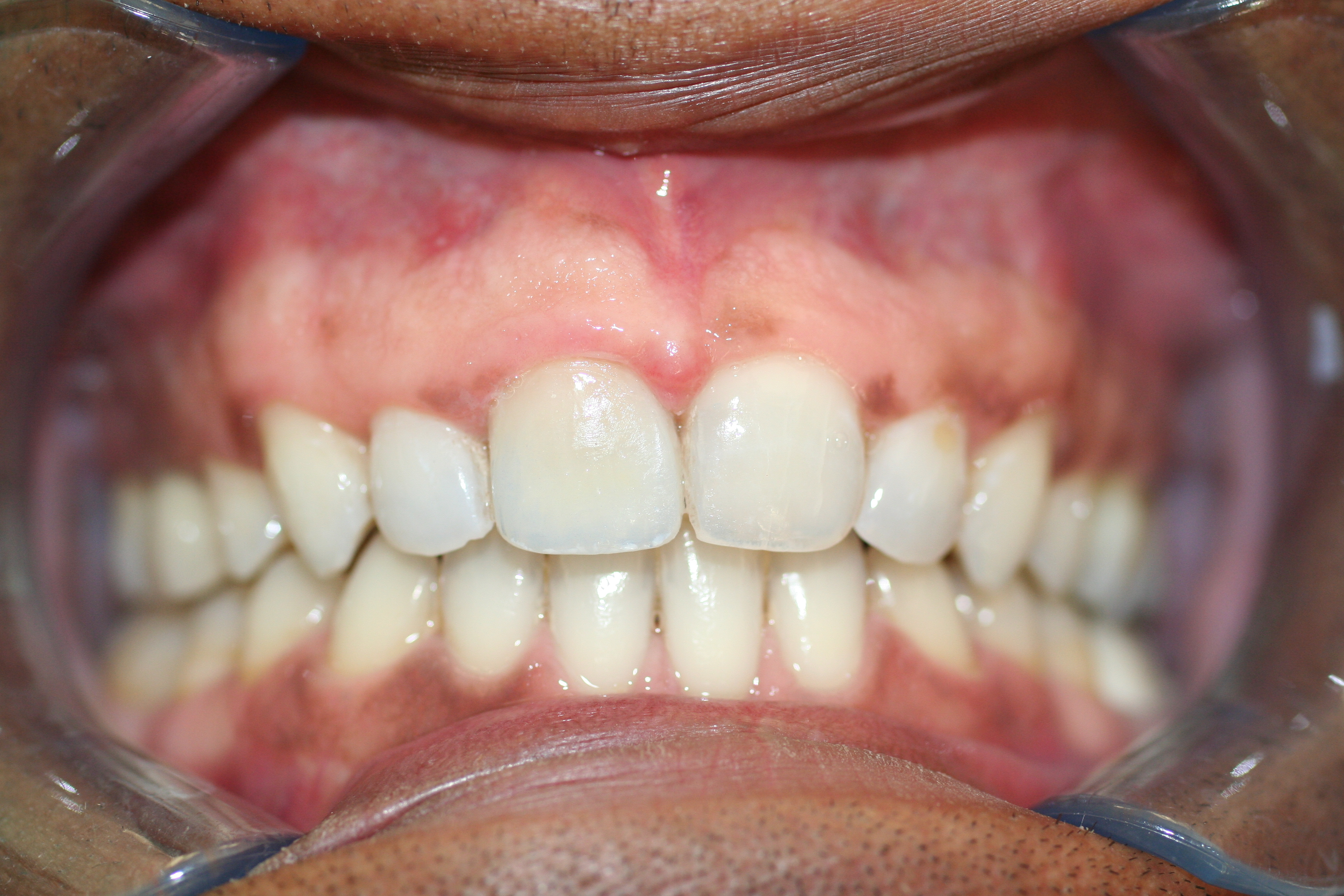
Porcelain veneers are thin pieces of porcelain used to recreate the natural look of teeth, while also providing strength and resilience comparable to natural tooth enamel. It is often the material of choice for those looking to make slight position alterations, or to change tooth shape, size, and/or color.

THE HOWS AND WHYS OF PORCELAIN VENEERS
Porcelain laminate veneers consist of a compilation of several thin ceramic layers which replace original tooth enamel, and an adhesive layer. To apply a veneer, a very small amount of the original tooth enamel must be removed, usually less than a millimeter. This is essential as it creates room for the porcelain veneer to fit within the mouth and most accurately restore natural tooth function while creating an even better appearance than the original tooth.
diamond glued on the tooth
The bond between original tooth and porcelain veneer is critical as it not only provides the esthetic perfection desired, but also a strong bond which is essential for correct veneer function. Light-sensitive resin is placed between the original tooth and the veneer and then hardened using a special curing light.
Porcelain veneers are a very successful option in many situations where the original tooth has developed poor color, shape, and contours. It is also a good choice for fractured teeth, gaps between teeth, and in some situations where the tooth position is compromised and there are minor bite-related problems. For some people, superficial stains do not respond well to tooth whitening or bleaching. In these situations, a porcelain veneer may be the best option.
MINIMAL PREP OR “NO-PREP” VENEERS
Some patients are looking for an alternative to traditional dental veneers or bonding, but be aware that this treatment option is not appropriate for everyone.
Just as with porcelain veneers, “no-prep” or minimal preparation veneers— so called because they typically don’t require the dentist to remove as much tooth material—are bonded to the front surface of your teeth. Often, the placement of no-prep veneers can be done more quickly and with less discomfort than traditional veneers.
Your AACD member dentist will let you know if you are a good candidate for minimal preparation or “no-prep” veneers and if this option makes a sensible treatment plan.
after crowns and veneers
THE BENEFITS OF VENEERS
Since veneers are individually sculpted for each patient, it is nearly impossible to tell the difference between a veneer and a natural tooth. Unlike natural teeth, custom-made veneers resist coffee and tea stains, and cigarette smoke because they are made of high-tech materials.
With veneers—as opposed to crowns—your natural teeth remain largely intact with only a minimal amount being altered to fit the veneer.
For teeth that resist whitening, veneers can make even the darkest teeth appear bright white.
Dentists may also recommend veneers to quickly fix minor twists, overlaps, and small gaps.
POTENTIAL VENEER DOWNSIDES
Because a portion of the original tooth enamel is reduced, a veneer is not considered a reversible treatment. Although adjustments and even new veneers can be made, you can never reliably return to the original condition of the tooth.
Creating porcelain veneers requires some laboratory time, so expect at least a week before they’re ready to be applied.
After the porcelain veneers are attached you will probably have some sensitivity to hot and cold temperatures due to the removal of that thin layer of enamel. This typically disappears within a few days. In a healthy mouth properly treated with porcelain veneers—and where destructive forces are minimized or eliminated—a patient should be able to use porcelain veneers like his or her own teeth. Although they’re very strong, veneers are also brittle. You should avoid the same excessive stresses you would avoid with non-veneered teeth: don’t bite your fingernails, chew ice, or open beer bottles with your veneers!
MAINTENANCE OF A PORCELAIN VENEER
Maintaining porcelain veneers is actually quite simple: Treat them as you would your original teeth, with routine brushing and flossing. Using non-abrasive fluoride toothpaste will typically be suggested by your dental professional.
One week after your veneers are placed, you will be required to return to the office for a follow-up visit and evaluation so the dentist can see how your mouth is reacting to the veneers. Even if you feel the veneers are a success, this appointment is vital to your future oral health.
If you have a habit of grinding or clenching your teeth, your dentist may fit you with a nighttime bite guard so you do not damage your veneers.















